Are you struggling with missing or damaged teeth that affect your oral health, confidence, or quality of life? At New Dawn Dentistry, we specialize in full mouth reconstructions, combining advanced technology with personalized treatment to restore function and appearance.
Unlike cosmetic makeovers, these treatments address bite alignment, jaw joint health, and overall dental function. With our comprehensive full mouth reconstruction solutions, you can regain a strong, healthy smile and enjoy eating your favorite foods again!
Restoring your smile with a custom-designed full mouth restoration isn’t only about appearances; it’s about ensuring your mouth functions properly. Proper chewing, speaking, and swallowing are critical to your overall health. Issues like missing teeth, gum disease, or bite misalignment aren’t just cosmetic concerns; they can lead to poor nutrition, digestive challenges, and even chronic inflammation throughout the body.
A well-balanced bite also helps protect against TMJ disorders, which may cause jaw pain, headaches, and tension in the neck and shoulders. That’s why function is the foundation of a healthy smile—without it, even the most attractive smile can create ongoing discomfort and limit your quality of life.
We offer same-day dental crowns using advanced technology, eliminating the need for multiple visits. Your crown is designed, crafted, and placed in just one appointment, saving you time and hassle!
These restorations are custom-made to match your natural teeth in color, shape, and strength. With same-day crowns in Madera, CA, you leave our office with a fully restored, functional, and confident smile.
Occlusion describes how your upper and lower teeth fit together when chewing or with your mouth closed. Occlusal adjustment involves carefully altering tooth surfaces to remove interferences (high points) and improve how your teeth come together. An occlusal adjustment is often required after getting a filling, inlay, onlay, dental crown, or bridge.
Invisalign in Madera, CA, utilizes a sequence of clear, removable aligners to effectively straighten teeth free from the discomfort of traditional metal wires and brackets. Each set of aligners is worn for approximately two weeks and only removed for eating, drinking, and oral care, allowing gradual and gentle alignment throughout 12 to 18 months.
This treatment method provides convenience and comfort and ensures consistent progress toward achieving the desired teeth alignment and a confident smile.
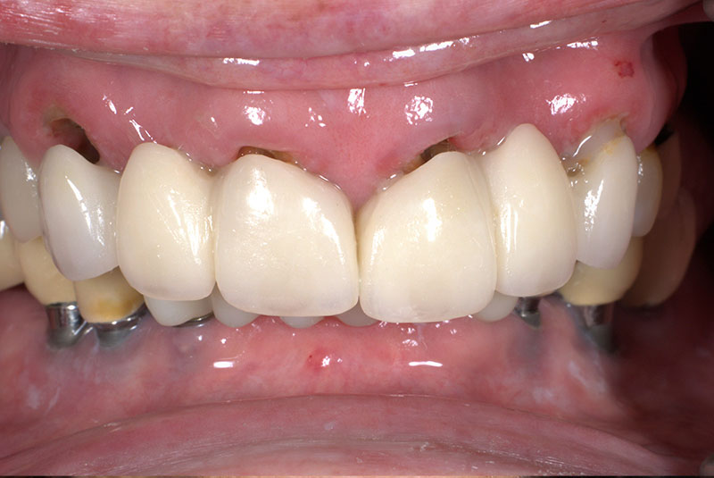
Dental implants are the number one solution for replacing one or more missing teeth. The titanium post is surgically placed in your jawbone and functions like a natural tooth root.
After the fusion process, you’ll receive a customized crown, bridge, or full mouth prosthesis crafted from highly durable and beautiful zirconia that fully restores your smile’s function and beauty.
Full and partial dentures in Madera, CA, offer effective solutions for replacing missing teeth and restoring oral function. Full dentures replace all teeth in a dental arch and are supported by the gums and underlying bone structure.
They are custom-made to fit comfortably and improve chewing and speaking abilities. Partial dentures are designed to fill gaps where some natural teeth remain, using clasps or attachments to secure them and prevent adjacent teeth from shifting. They enhance aesthetics, support facial contours, and maintain oral health.
Oral surgery encompasses various procedures to treat multiple dental and oral conditions. Our oral surgery treatments include tooth extraction, wisdom teeth removal, jaw surgery, and dental implant placement. Oral surgery is crucial in correcting dental issues, alleviating pain, and restoring oral health and function.


I understand the information disclosed in this form may be subject to re-disclosure and may no longer be protected by HIPAA privacy regulations and the HITECH Act.
Monday | 9:00am – 6:00pm
Tuesday – Wednesday | 8:00am – 5:00pm
Thursday | 7:00am – 4:00pm
Friday – Sunday | Closed
© All rights reserved | Privacy Policy